在鹤城百姓心中,附属三院骨外一科是许多人重获健康的地方,更是鹤城骨科事业的一面旗帜。这个品牌有名有实:应用富血小板血浆技术治疗股骨头坏死及骨不连,填补了我省该领域的空白;成功地完成了人工股骨头、人工全髋关节的置换手术,帮助患者重新站立行走;颈前、后路手术减压固定治疗颈椎病;颈后路单双开门椎管成形术及侧块固定;人工颈椎间盘置换;后路腰椎间盘镜技术;经皮椎弓根钉微创固定技术;胸腰段前路减压固定技术;经胸椎体前路固定技术;脊柱侧弯矫治;球囊撑开椎体成形技术……这些对普通人来说乏味而难懂的医学术语,记录的是白玉江和他的团队为了挽救生命,推动骨科医疗技术发展而做出的种种努力,付出的种种艰辛,技术上的领先让骨外一科为骨病患者带来了生命的希望。提高医疗服务质量的探索上,只有起点,没有终点,以脊柱专科为主打特色以来,骨外一科完成一系列极高难度手术,取得了良好的治疗效果。
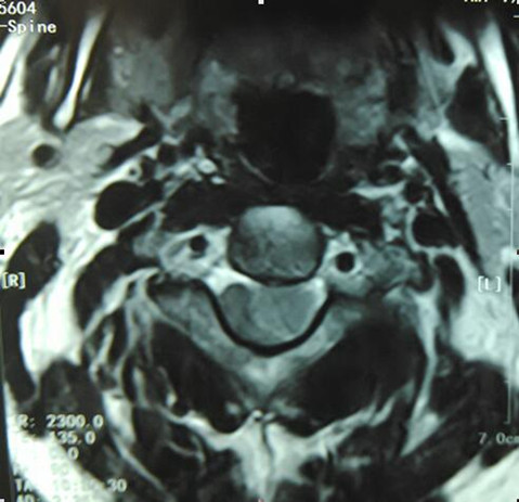
颈2椎管内硬膜下脑膜瘤切除
李先生53岁,入院前两个月出现肢体麻木、无力的症状,在个人诊所行针灸、按摩等治疗后症状略缓解。入院前一周,李先生肢体麻木、无力的症状加重,且行走不稳,李先生及家人这才意识到问题严重,想到北京或哈尔滨等大医院就医,但是由于经济方面的原因不能实现,于是多方打听后方知我院可以做这方面的手术,便立即来我院寻求救治。经MRI检查显示:“C2水平椎管内占位性病变”。白玉江主任团队经过反复术前讨论后决定为李先生行后路椎板切开减压、硬膜切开、肿物切除术。手术过程非常顺利。术后病理检查回报:(椎管内)脑膜瘤。每一个月随访至六个月,李先生恢复良好,无复发。
手术难度:该肿瘤已占椎管的90%,严重压迫脊髓,影响患者肢体感觉及运动,若肿瘤继续生长持续压迫脊髓,因病变节段高,可导致膈肌运动消失,以致呼吸衰竭,危及患者生命。手术风险极大,术中操作需格外谨慎,若强行切除肿瘤损伤脊髓,患者有呼吸停止的可能;此外因脊髓长期持续受压迫,一旦解除压迫,还需防止脊髓再灌注损伤的可能,若发生再灌注损伤则导致患者呼吸停止、死亡。


术前颈椎MRI

取出的肿瘤
腰3椎体旁肿物切除
李女士52岁,于入院前一年出现腰部疼痛伴有右侧下肢酸痛,未治疗,入院前一个月,李女士感觉腰部、右侧下肢疼痛加重,休息后不可缓解。心里忐忑的李女士在家人的陪同下来我院就诊。行腰部磁共振检查显示:腰3水平左侧腰大肌轮廓内囊性病灶。入骨外一科后,经谨慎讨论后决定为李女士行T3椎旁肿物切除术。术中顺利切除腰大肌有旁梭形肿物,大小约1×3×2cm3。术后病理回报:(左侧椎旁)良性梭行细胞肿瘤,形态符合神经鞘瘤。术后每一个月至六个月回访,李女士无不适,无复发。
手术难度:该肿瘤在腰3椎体旁、左侧腰大肌内,要将其完整切除有很大难度,极有可能造成左侧腰大肌的损伤及左侧神经根的损伤,导致患者腰部活动受限及左侧肢体运动、感觉障碍,术中必须保护好神经根,若与神经根粘连则不能强行切除。


术前腰椎MRI

取出的肿瘤
左侧盆腔椎体旁腹膜后巨大肿物切除
赵先生45岁,于2015年7月发现左侧腹部有一无痛性肿物,约鸡蛋大小,赵先生认为这肿物不痛不痒,就没重视。可随着时间推移,肿物逐渐增大,李先生出现左下肢疼痛、麻木的症状,包块增长至约拳头大小,疼痛明显加重,甚至无法入睡,严重影响李先生生活质量,仅半年时间,体重减轻10kg,在外院行增强CT检查示:“左侧腹膜后占位,考虑间叶源性肿瘤可能性大”。为求进一步诊治,李先生多方打听来我院骨外一科就诊。确诊后,白玉江主任决定为此其行肿物切除术。术中见腹外斜肌下方肿物,手术难度及风险极大,经过两个小时的手术,最终将15×10×10cm3巨大肿瘤完整切除。术后病理回报:粘液性脂肪肉瘤。术后一个月及两个月随访,患者左下肢疼痛无复发。
手术难度:由于患者有肿瘤病史,且此重物巨大在盆腔内,无活动度,手术难度极大,因肿物巨大与周围组织粘连,手术时间较长,并极有可能造成输尿管、腹膜、肠管、神经的损伤;该肿瘤恶性可能性大,若侵犯周围组织,需扩大切除;其中最危险的是肿物在盆腔与左髂骨粘连且无活动度,若将其完整切除极有可能损伤盆底静脉丛,造成大量失血,引起失血性休克导致患者死亡。



入院后腹部MRI

取出的肿瘤
强直性脊柱炎、双侧股骨头坏死、
双侧髋关节融合患者的双侧全髋关节置换术
刘先生29岁,于十余年前无明显诱因出现浑身乏力、消瘦、背部肌肉僵硬,晨起明显,活动后缓解的症状,随着病情逐渐发展,出现腰骶部坚硬感,间歇性出现腰痛和两侧臀部疼痛,放射至大腿,经多方诊治,最终确诊为强直性脊柱炎。由于刘先生的病情迁延不愈,双侧髋关节疼痛愈发严重,于是前往当地医院检查治疗,诊断为双侧股骨头无菌性坏死,自行保守治疗。6年前逐渐出现双侧髋部旋转及屈伸活动障碍,严重影响日常生活。3年前开始出现颈部僵硬,活动受限,保守治疗多次均未好转。为求进一步诊治,刘先生及其家人来到了骨外一科。经过仔细查体及辅助检查,刘先生被诊断为:强直性脊柱炎、双侧股骨头坏死、双侧髋关节融合。白玉江主任建议其做:双侧全髋关节置换。经过3个小时的手术,刘先生的双侧全髋关节置换手术顺利完成,目前,刘先生恢复良好。
手术难度:因患者双髋关节融合,无活动度,大大增加手术操作难度,又因肺功能略差,全麻插管难度大大提高,麻醉科张宏伟主任行纤维气管镜清醒插管,手术顺利。

术前X线

术后X线

术后患者康复锻炼
脊髓占位(胸3椎体水平)病变切除术
吴先生65岁,两年前无明显诱因出现双下肢麻木的症状,自行口服药物治疗无明显效果。入院前双下肢略肿胀。吴先生及家人慕名来我院就诊,行MRI检查示:“T3椎体水平脊髓内占位。”入院后查体及辅助检后,临床诊断为:脊髓占位性病变、颈椎病。于4月8日行脊髓探查、病变切除术。目前,吴先生切口愈合良好,肢体活动自如,生活完全自理。
手术难度:因患者为脊髓占位性病变,故手术需切开硬膜囊,探查脊髓,术中操作必须谨慎,若损伤脊髓可导致该节段以下的肢体运动、感觉障碍或瘫痪,若损伤神经根可导致单侧肢体运动、感觉障碍或丧失,需术中积极保护脊髓及神经根,手术风险极大。



术前胸椎MRI
对于未来,骨外一科有着自己清晰的展望:一支高素质、医术精、科研能力强的团队,在已经取得的骨科技术成果的基础上,再树立起一个个叫得响的医疗服务品牌。
骨外一科 马麟 宣传科 张吉媛



