2月2日,听说刘琳主任和莫庆国医生要去看出院不久的脑梗塞患者刘老汉,我就找主任说我也想跟着去瞧一瞧,因为我特别想看看脑血管介入取栓的治疗效果。
我们要看望的这位刘老汉是1月10日因冠心病、房颤入我院心内科。入院不久,栓子脱落形成脑梗塞,病情急转直下,进入危重状态。继而转入到神经内科,打算溶栓治疗。然而,患者有溶栓禁忌!此时,刘老汉深度昏迷,右侧肢体活动受限。如病情拖延,错过血管最佳复通时间,患者可能导致脑疝、甚至死亡等风险,时间就是生命,时间就是健康,每晚一秒钟,恢复的情况都千差万别!于是神经内三科刘宏斌主任及时通知介入科主任刘琳会诊,研讨是否有介入治疗的可能。
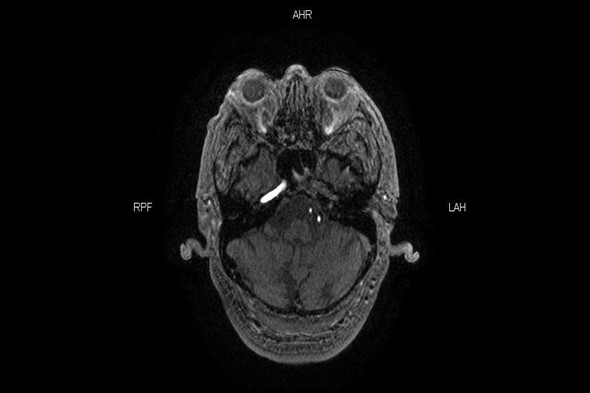
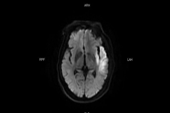
介入科刘琳团队接到通知立即启动脑卒中快速通道,患者准备MR检查的同时介入导管室护士、急诊麻醉师刘洋、赵亮已到位。核磁科崔红升主任团队经过详细的检查分析评估,得出结果为左颈内动脉起始栓塞,颅内小梗塞病灶显影,还有大量可挽救的脑细胞,适合介入取栓治疗挽救患者生命。

MR 左颈内动脉未显影

MR 血管重建左颈内动脉消失,右颈内动脉显影正常

DWI 显示小梗塞病灶,还有可挽救的脑细胞
经莫庆国医生耐心的讲解、沟通,风险告知,家属积极配合,同意做介入取栓手术。刘主任、莫医生立即为刘老汉进行脑动脉取栓介入手术。刘主任将专用的微创器械经患者右侧股动脉送入血管内,导管在血管内蜿蜒前进,经过造影,最终锁定在左颈动脉栓塞位置。刘主任使用取栓支架,小心翼翼地释放到栓塞位置,停留几分钟后,待支架充分接触血栓,才将支架取回。取出血栓后,再次造影,颈内动脉开放,血流通畅了。但是,大脑中下干近端分支未见显影。刘主任紧接着用相同的方法取出左侧大脑中动脉下干分支血栓。时间一分一秒的流逝,历经二小时三十分手术结束。铅衣包裹下的刘主任、莫医生早已像从水里捞出来的似的,完全被汗水浸泡了。




DSA造影

取出的血栓
三天后,刘老汉完全恢复了神智,手脚也灵便了。老伴和儿子、儿媳都长舒了一口气,笼罩在家庭上方的阴云终于散去。在为刘老汉治疗的过程中,我院心内科、神经内三科、介入科、核磁科以及重症医学科、手术室等科室,齐心协力,紧密协作,急患者之所急,想患者之所想,终于将刘老汉从死神的魔爪下救了回来。
今儿,我们所看到的刘老汉,不仅能够生活自理,还能帮家里人给花儿浇水、除草呢!刘老汉看到刘主任和莫医生时很是激动,用他那不十分流利的语言说:“谢谢你们,是你们给了我第二次生命!给你们点赞!”刘主任看患者恢复的这么好,很是开心!关切的告诉患者及家属后续的功能锻炼的重要性及注意事项,告知患者不要着急,语言功能慢慢也将恢复。
我们的回访在一片欢声笑语中结束了。我的心情却久久不能平静,为主任、医生的敬业精神所感动,为患者的信任配合所感动,更为我院的医疗团队团结协作精神所感动!

逐渐康复的刘老汉和刘主任、莫医生合影
那么,让刘老汉命悬一线的脑卒中到底是怎么了的呢?怎么会与他的“心脏老毛病”有关呢?原来啊房颤是脑卒中的主要危险因素。房颤病人脑卒中发病率大约为5%,比一般人群高3~5倍,死亡率增高约2倍,老年人中有1/4的脑卒中与房颤有关。房颤导致的脑栓塞致残和致死率高,是名副其实“隐身杀手”。一旦发生脑梗塞,目前最新最佳最先进的治疗手段就是动脉取栓,通过介入微创手术,将堵塞在脑血管内的栓子取出,使血管恢复通畅,不仅帮助患者保障生命,而且还避免了漫长的康复之路。
我院介入科是我市最早引进微创介入治疗脑血管疾病的科室,此项技术的开展,给患者延长了治疗的时间窗,特别是大血管闭塞凶险患者,使用支架取栓治疗,降低急性缺血性脑卒中的致残率和死亡率,使得患者在第一时间内得到诊治,标志着我院脑卒中绿色通道中又增添了一项新手段,在开通脑血管方面与国内、国际先进水平接轨,会有更多的脑梗塞患者受益。

患者家属赠送锦旗
介入科 刘艳茹



