超声支气管镜,是近年来在临床上应用越来越广泛的一种检查设备。超声支气管镜检查技术能帮助医生通过超声定位支气管腔外病变的具体位置,并避开血管,通过针吸活检获得病变部位的细胞和组织,实现诊断疾病的目的,同时减少出血等并发症,是一种安全性高、诊断率高、手术创伤小、重复性强的支气管镜活检新技术。近日,我院呼吸与危重症医学科一病区就利用了超声支气管镜技术,成功为两例肺部病变患者明确诊断。
病例一:肺结节病
患者,女,50岁,因“反复咳嗽、气短半年,加重7日”入院。患者半年前辗转省市多家医院,甚至专科医院建议抗结核治疗4月,症状缓解不明显,在外院行2次支气管镜检查,均未能找到结核依据及确诊,后前来我院呼吸与危重症医学科一病区住院进一步诊治。入院后给予完善经支气管镜肺活检(TBLB)及超声引导下行经支气管针吸活检(EBUS-TBNA),病理诊断为结节病。


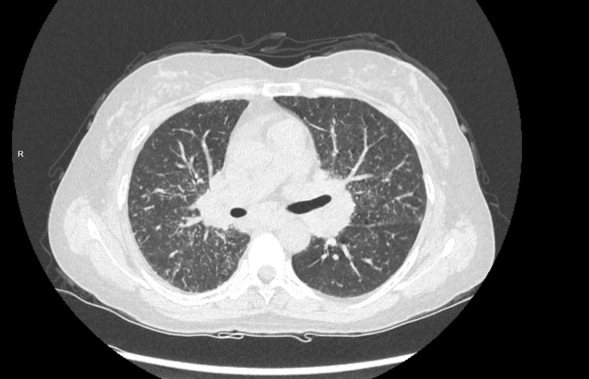
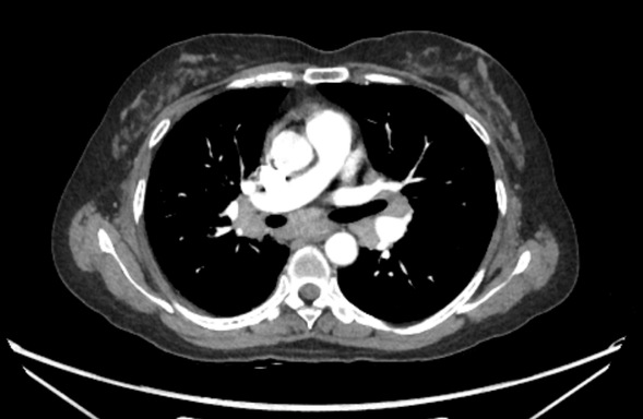
胸部CT:纵膈淋巴结肿大 双肺多发粟粒结节影

7组淋巴结肿大

4R组淋巴结肿大

病理诊断为结节病
病例二:肺癌
患者,女,70岁,2021年10月发现肺占位,先在我市某医院行支气管镜检查,无阳性结果,后去天津某医院行CT引导下经皮肺穿刺活检,结果未找到恶性肿瘤细胞。后期定期随访,1年后病灶较前略有增大,遂来我院进一步诊治。后行超声引导下行经支气管针吸活检(EBUS-TBNA),明确诊断为肺腺癌。



什么是超声支气管镜?它有哪些优点?
超声支气管镜,又称EBUS,是近年来在临床上应用越来越广泛的一种检查设备。在支气管镜前端安装超声探头,并结合专用的吸引活检针,可在实时超声引导下行经支气管针吸活检(EBUS-TBNA)。常规支气管镜仅能对气管、支气管腔内的病变进行观察及操作。相比常规支气管镜检查,EBUS能帮助医生通过超声定位支气管腔外病变的具体位置,并避开血管,通过针吸活检获得病变部位的细胞和组织,实现诊断疾病的目的,同时减少出血等并发症,是一种安全性高、诊断率高、手术创伤小、重复性强的支气管镜活检新技术,在国际国内均属前沿技术。
超声支气管镜可用于哪些疾病的诊断?
肺门和/或纵隔淋巴结肿大;肺内肿瘤的诊断;纵隔肿瘤的诊断;纵隔淋巴结结核的诊断;淋巴瘤的诊断;肺结节病的诊断;肺癌患者淋巴结分期。
超声支气管镜在我院应用情况如何?
我院于2016年全省率先引进超声支气管镜,多年来呼吸与危重症医学科已经完成近千余例患者检查,具有丰富的经验。开展的超声支气管镜引导下的经支气管针吸活检荣获2017年黑龙江省医疗卫生新技术应用一等奖,填补省市空白。

黑龙江省第一台EBUS超声支气管镜

EBUS-TBNA检查
如何预约呼吸与危重症医学科的超声支气管镜检查?
呼吸与危重症医学科超声支气管镜检查需办理住院。采用全身麻醉,患者无明显痛苦,术后待麻醉完全清醒即可正常下地活动和进食水。检查相关费用按照省市医疗保险规定报销。
咨询预约电话:0452-2697388;0452-2697564



