近日,我院呼吸二科成功为一名食管气管瘘的患者实施了气管覆膜支架植入术。
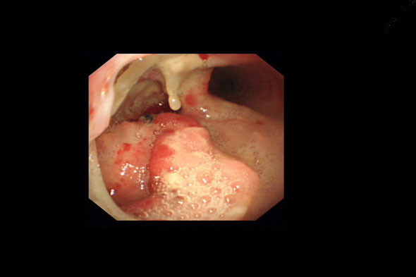
患者,男性,56岁,是一名食道癌晚期并发食管气管瘘患者,入院时已多日没进食,极度消瘦。医生给予患者行支气管镜检查后,明确瘘口直径达4cm,伴肿瘤组织侵犯气管。为挽救病人生命、提高患者生存质量,医生团队经过认真研究,制定了目前最有效的治疗方案——气管覆膜支架植入封堵瘘口。主任的一句“我们共同努力!”给患者传递了必胜的信心。
手术当天,医护团队有条不紊的分工操作:支气管镜再次评估、快速送入导丝,准确送入置入器、缓慢释放支架,一次植入成功。
24小时后复查气管镜及CT提示:食管气管相通的瘘口完全封堵。患者进食恢复,未再呛咳,发热、咯痰也明显减轻。气管覆膜支架植入封堵瘘口术,改善了气管食管瘘病人的生存质量,延长了病人生存时间,得到患者及家属的一致好评。
气管支架植入术适用于治疗肿瘤性、结核性、肉芽性、瘢痕性等病变引起的气道内狭窄;甲状腺、食道、纵隔占位等疾病引起的气道外压性狭窄;气管食管瘘的封堵以及肿瘤放疗的通气保障等。
我院呼吸二科是目前省内唯一一家能够独立并全面开展呼吸介入技术的团队,让饱受复杂气道疾病折磨的患者不出家门就能得到国内最先进的呼吸介入治疗技术。
(呼吸二科 安静春)

支架前

支架后



