近日,市民裴女士从鬼门关上走了一遭,幸得神经外二医护人员及时救治,才把她从死亡线上拉了回来。
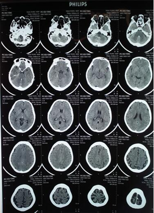
12月11日,对于裴女士及家人来说是不幸的。裴女士在入院前一天,无明显诱因突发出现头痛、头晕,伴恶心且呕吐数次(呕吐物为胃内容物),有二便失禁、意识不清、问话不答的症状。家人紧急将裴女士送入我院,行头部CT检查诊断为:蛛网膜下腔出血/动脉瘤破裂。
人们把脑动脉瘤形容为随时能爆炸的“不定时炸弹”,是非常凶险的出血性疾病,随时再次破裂出血,如若处理不当,患者随时可能因失去手术时机而导致死亡。入神经外二科后,副主任高风全凭借丰富的临床经验立即快速给予患者应对措施:镇静、控制血压平稳,积极联系介入科室行DSA(数字减影血管造影)检查,明确出血原因为:小脑后下动脉瘤破裂。
颅内动脉瘤按部位分类中,小脑后下动脉瘤比率仅占1%。其前方为中枢脑干,如果血肿压迫脑干,易导致呼吸、心跳骤停,手术风险大。神经外二科成立以来动脉瘤夹闭术已是常规手术,但此部位动脉瘤手术非常罕见,需要后颅窝开颅,手术困难大,如二次出血,病情进展迅速,手术时间窗稍纵即逝,十分危急。神经外二科主任吴卫东及科室成员经过紧张讨论,共同商议、制定出详细的治疗方案,做好充分的术前准备,开始了又一次危险征程。
手术如期开始,探望患者、术前沟通、剃头、备手术用品、备血……工作有条不紊进行。经麻醉医生麻醉后,吴卫东主任为患者采取俯卧位后颅窝开颅,术中发现患者右侧小脑后下动脉2mm大小动脉瘤破裂出血,分离、夹闭……每一个步骤都非常谨慎,连呼吸都变得小心翼翼。吴卫东主任凭借精湛的手术技能,在高风全副主任、麻醉科医师的默契配合下,最终,成功将动脉瘤完全夹闭,第一时间挽救了患者的生命,手术圆满成功。术后第一天,患者意识清醒。现患者已正常活动。
神经外二科团队及麻醉科快速、高效的配合成功夹闭本例罕见部位小脑后下动脉瘤,标志着我院神经外科技术水平又上了一个新台阶。
神经外二科 高风全 宣传科 张吉媛

术前头部CT

术前DSA造影检查

术后第一天头部CT

高风全副主任探望患者



