1月7日,对于廉女士一家来说是惊心动魄的一天,也是收获喜悦的一天。廉女士是一名垂体瘤患者,肿瘤直径达5cm,属巨大肿瘤,危险性极高。在神经外二科吴卫东主任及他带领的团队共同努力下实施手术治疗,目前恢复良好。
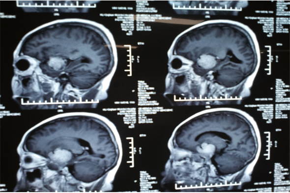
廉女士现年62岁,既往有垂体瘤病史1年左右,随着肿瘤的不断长大,出现精神症状,有言语迟钝及行动受限等表现。患者曾因此病周转于周边各大医院,后了解到我院成功治疗多例此类疾病,治疗效果良好,遂慕名来到我院治疗。由吴卫东主任及科室成员共同诊治,进行头部核磁,显示蝶鞍、蝶窦及左侧鞍旁占位性病变,增强见肿瘤强化明显,直径大于5.0cm,诊断为侵袭性垂体瘤。吴卫东主任带领科室成员共同讨论商议,制定出详细的治疗方案,并做好术前准备,开启了又一次充满挑战的手术治疗。
当日,先由麻醉医生为患者麻醉,在手术室护士的密切配合下,由吴卫东主任为患者施行手术,术中吴卫东主任凭借精湛的手术技能,在开颅切除蝶骨脊旁5.0cm肿瘤后,在狭小的动脉与各个神经缝隙间精细操作,以刮匙完全刮除鞍内肿瘤,保留周边血管及神经,手术进行的十分成功,在术后的第一天患者就意识清醒,无功能缺失。
垂体瘤在临床出现症状较多,主要是肢端肥大,巨人症及库欣氏综合征,亦可出现泌乳或性功能低下等症状,垂体瘤从形态上可分为:微腺瘤、大腺瘤、巨大腺瘤。超过3cm即为巨大腺瘤,该患者肿瘤直径为5cm,为巨大腺瘤。其周围为颈内动脉,视神经及动眼神经等重要组织结构,手术风险较大,神经外二科成立以来垂体瘤切除术已是常规手术,但此巨大垂体瘤实属罕见。吴卫东主任精准的判断及娴熟的手术技巧,神经外二科团队及麻醉科快速、高效的配合再一次创造了奇迹。
神经外二科 高风全


术前头部MRI


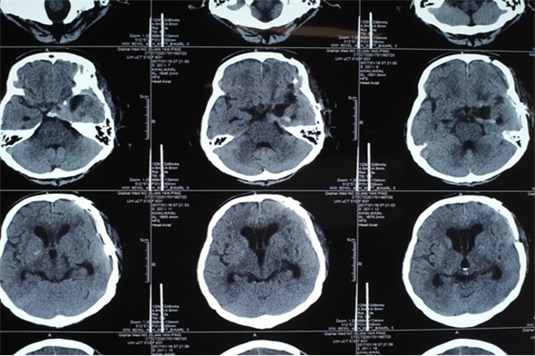
术后CT



