医者,是与死神抗争的勇士,是伴生命而行的挚友。对于神经外二科的所有医者来说,没有什么比让病人成功脱离险境,恢复健康,更加令人振奋的了。就在不久前神经外二科的全体医护人员,以勇者的胆识,过硬的医疗技术再次成功的救治了一名巨大复发性脑膜瘤患者。
恶性脑膜瘤是指具有某些良性脑膜瘤的特点,逐渐发生恶性变化的肿瘤。恶性脑膜瘤具有生长快,肿瘤多向四周脑内侵入的特点,易使周围脑组织胶质增生,因此手术难度很高,风险也很大。
对于患复发性脑膜瘤的吴女士来说,这个冬天注定难以平静,说起吴女士的患病经历,还要从两年前说起,两年前,患者发病就诊于外地医院,头核磁共振检查诊断:颅内占位。随即行开颅手术,术后病理示脑膜瘤,患者恢复较好,未行放射、化疗等辅助治疗。术后一年复查时发现肿瘤再次复发。自觉左眼有发胀感,继之出现左眼突出,视力下降,同时伴有头部疼痛、进食差,随着病情进展,患者左眼视力完全丧失,当即在北京就医,行头MRI检查,结果显示为侵袭性脑膜瘤,肿瘤直径9cm大小,需手术治疗。吴女士几经周转,多方打听,最后得知我院成功治疗多例此类疾病,且效果良好,遂慕名来我院治疗。
初步了解病情后,高风全主任热心收治患者,详询病史、细心查体,由于吴女士的脑膜瘤为复发性脑膜瘤且体积巨大,病情较之一般患者更为复杂。神经外二科专家团队也反复商讨,凭借丰富临床经验,制定出详细的治疗方案和术前准备,又开始了一次危险的手术征程。
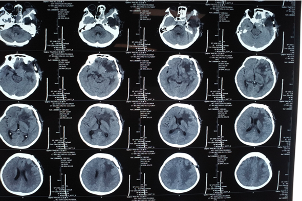
1月7日,麻醉医生顺利麻醉,手术室护士密切配合,手术由神经外二科吴卫东主任主刀,吴主任凭借精湛的手术技能,术中探寻蝶骨脊、颞骨岩部及斜坡处,行电烧并切断供血。手术中,由于患者病情重,骨质受侵蚀,酥脆明显,导致出血较多。吴主任当机立断,切断根部后再于显微镜下寻找到边界逐步分离并分块切除肿瘤组织,由于肿瘤长度达9cm,前方达前颅窝底,内侧达右侧蝶骨脊,后方达颞极下部,并在眶后壁切除了部分肿瘤组织,根据肿瘤颜色及质地以及侵蚀程度考虑恶性脑膜瘤可能性大。手术进行的很顺利,术后第一天患者即意识清醒,无功能缺失。如此喜人的结果,令所有神经外二科的医护人员倍感欣慰。
无影灯下,我们以专业技术与死神赛跑;无影灯下,我们以手术刀为武器同死神争分夺秒。以人为本,以生命为重,当焦急万分的患者家属得知患者平安的消息时,一次次的热泪盈眶,一双双迟迟不肯松开的手,都敦促着医护人员要怀揣使命感,在未来神经外二科的全体医护人员也将怀揣仁心,以我们的陪伴,让这个冬天不再寒冷,温暖如春!
神经外二科 张芸供稿 宣传科 赵越整理


术前MR


术后第一天CT



