市民王先生,今年60岁了,身体状况一直不错。但就在一年前,时常无规律的出现间断性头痛,并且伴有困倦、乏力、精神萎靡不振的症状,当时并未太过在意,也未进行检查和治疗。但就在最近,困倦、周身乏力的症状较前加重,且行走缓慢,计算方面明显变差。这才到当地的医院进行住院治疗。以脑梗塞对症药物治疗6日,患者症状无明显好转。期间行头部MRI检查,结果显示有颅内多发梗塞灶,鞍区占位性病,确诊为垂体泌乳素腺瘤。患者曾辗转多家医院就诊,最终慕名来到我院神经外二科吴卫东主任处就医。
患者入院后,神经外二科吴卫东主任经过认真详细询问病史,结合多年的临床经验和当前垂体瘤手术的新发展,决定为患者行经鼻蝶窦入路垂体腺瘤切除术。在手术前,患者在我院完善术前检查,给予常规激素、收缩鼻粘膜及练习体位等一系列准备。同时为了减少术后并发脑脊液鼻漏的风险,术中硬脑膜切开采用倒钩型硬膜切口,以减少给患者带来的损伤,手术进行顺利,术后3日即顺利拔除鼻腔填塞物,无脑脊液瘘。术后泌乳素水平检查较术前明显改善,患者头痛、困倦、乏力症状及患者精神状态较术前亦明显好转。术后5日病情平稳出院。
我院神经外二科技术力量雄厚,致力于发展显微神经外科技术及微创神经外科技术,显微镜、Keyhole技术等得到广泛应用。科室不仅仅拘泥于常规治疗脑外伤、脑出血等急、重症病人,主要完成脑动脉瘤夹闭、颅脑肿瘤切除(胶、膜、垂、颅、转、听、血等)、单鼻孔-蝶窦入路切除垂体瘤、半椎板脊髓肿瘤的精准手术切除、烟雾病EDAS显微手术、中枢恶性肿瘤显微手术切除+粒子刀植入、Arnold-chiari畸形等高难度显微手术,并取得良好疗效。
在今后,以吴卫东主任为首的神经外二科也会以高超的医疗技术继续为我市百姓健康保驾护航。
神经外二科 陈大刚

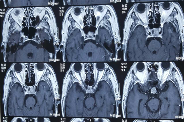
术前垂体MRI检查


术前术后垂体激素水平对比

术后1日复查头部CT检查

神经外二科吴卫东主任正在实施手术



