近日,我院神经内二科与神经外二科密切配合,快速诊断救治颅内Ⅴ级动脉瘤破裂一例,术后患者恢复良好。
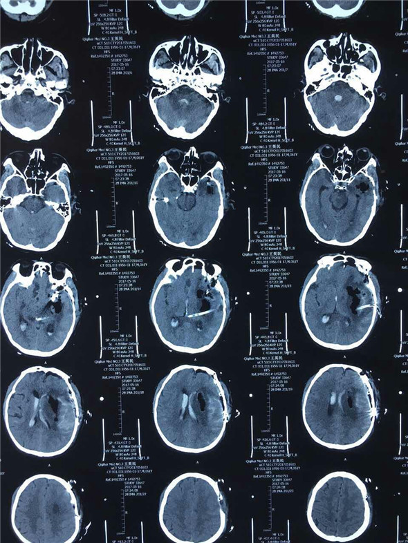
患者王先生因头痛4小时入住神经内二科,完善相关检查给予对症治疗过程中患者出现意识不清,急诊行头CT示蛛网膜下腔出血、颅内大面积出血,并且患者意识不清逐渐加重,双侧瞳孔不等大,已出现脑疝,情况十分危险。对于这位危重症患者来说时间就是生命,神经内二科赵宏主任立即联系神经外二科吴卫东主任紧急会诊。
虽然当时已是零晨1点钟,吴卫东主任接到会诊电话后没有一丝犹豫,即刻驱车来到医院,在来不及查脑256CT及全脑血管选择性造影的情况下,吴主任凭借几十年的专业临床经验,认为患者极有可能是颅内动脉瘤破裂出血,在与家属详细交代病情后,果断的制定出急诊手术方案。
因术前缺少脑256CT及全脑血管选择性造影,动脉瘤的位置、大小情况无从知晓,所以手术切口的设计,术中可能发生的情况的预判,对手术能否成功有着至关重要影响。术中吴主任凭借多年的手术经验及娴熟的手术技巧,仔细而充分的清除颅内血肿,在左侧大脑中动脉M1、M2交界处暴露出动脉瘤,最大直径约1.8cm,2枚动脉瘤夹成功夹闭。经过3个小时紧张而有序的手术,王先生的手术顺利完成。术中将骨瓣成功复位,避免了二次手术,减轻了患者的经济负担,术毕患者双侧瞳孔回复正常,术后第一日患者清醒。
神经外二科自成立以来已多次完成Hunt-HessⅣ-Ⅴ动脉瘤手术,本次快速救治颅内Ⅴ级动脉瘤破裂的成功,从发现患者意识不清到复查头CT,再到转科做好术前准备将患者推进手术室,离不开神经内二科与神经外二科紧密配合。此次默契合作,有力的诠释了珠联璧合,合作无间。为我院脑血管急、重症救治及开辟快捷绿色通道救治抹上浓重一笔。
神经外二科任德帅

术前头部CT


术后头部CT



