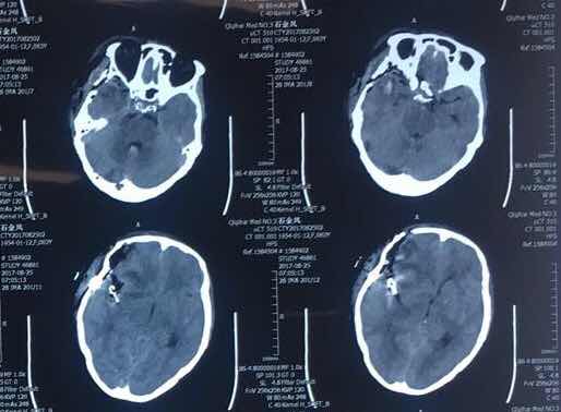
8月22日对于石大娘及家人来说是不幸的,当天夜里石大娘在睡觉过程中出现憋气,被家人发现意识不清及小便失禁,随即被家人送到附近医院,做头CT检查,发现“蛛网膜下腔出血”,并且出血量大,为求进一步诊治,23日早上120转送至我院,神经外二科值班医生接诊后,结合患者病史,高度怀疑为颅内动脉瘤、动静脉畸形破裂,立即给予止血、降血压、抗血管痉挛等治疗。
颅内动脉瘤被称为颅内的“不定时炸弹”,随时有再次破裂出血可能,一旦出血预后极差。患者属于亨-汉氏分级3级,急诊全脑脑血管造影显示患者为颅内多发动脉瘤,一枚位于右侧大脑中动脉M3段,一枚位于左侧大脑前动脉A1段。两枚动脉瘤相当于两枚“不定时炸弹”,其危险程度可想而知,而且术前难以判断责任动脉瘤。
开颅动脉瘤夹闭术已是神经外二科的常规手术,颅内多发动脉瘤位于同侧的已经开展了多例,但是两枚动脉瘤分别位于两侧尚属罕见,手术入路的选择尤为重要,一次夹闭双侧颅内动脉瘤难度加大,术前吴卫东主任带领神经外二科全体医生反复观阅脑血管选择性造影,结合头CT表现,最后得出右侧大脑中动脉动脉瘤可能为责任动脉瘤,手术入路选择为右侧翼点入路,那么左侧的动脉瘤能否顺利的夹闭就成了问题,如果只夹闭右侧动脉瘤,左侧也随时有破裂风险,危及患者生命,如果待患者恢复后再次手术治疗左侧动脉瘤无疑会增加患者的经济负担及承受再次开颅的创伤,本例患者处理左侧动脉瘤的难度是距离远,中间要跨越多处血管及神经,对于术者是一次严峻的考验。
24日手术紧张而有序的进行,术中证明右侧为责任动脉瘤,与术前判断相符,完美夹闭右侧大脑中动脉瘤后,解剖探查左侧动脉瘤位于左侧大脑前动脉A1段腹侧,指向左侧视神经,一旦误夹可引起视力受损、精神异常等不良后果,最后凭借多年的手术经验及技巧成功将两枚动脉夹闭,第一时间挽救了患者的生命,手术过程顺利,双侧颅内动脉瘤完美夹闭,术后患者清醒,现已下地活动。

术前头部CT

术前头部DSA

术后头部CT
神经外二科 仁德帅



