近日,我院骨外五科(关节镜与运动医学科)在以往独立开展膝关节镜下滑膜清理术、半月板缝合或修理术、膝关节交叉韧带重建术基础上再次完成膝关节镜下膝关节僵硬松解术,实现自我突破,为患者解除顽疾。
患者刘女士,32岁,因1年前外伤导致右髌骨骨折,在当地医院行手术治疗,术后由于康复不及时出现膝关节活动受限,严重影响自身生活质量,经康复治疗2个月,仍未好转,无意中听说我院孙文才主任能治膝关节僵硬,而且是微创手术,不开刀、创伤小、低痛苦、恢复快、疗效好,特意慕名前来。
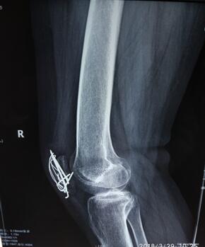
孙主任通过查体和观看膝关节X线,得出患者是膝关节骨折术后关节僵硬,可以关节镜下微创松解治疗。住院医师申福国做术前查体,发现患者右侧膝关节伸约0°,屈曲约32°,几乎为完全僵硬关节,孙主任组织科内微创治疗小组进行病例讨论,对患者术中手术方案及术后康复治疗均做出完整规划。
之后,孙主任带领团队择期在腰麻下给予微创关节镜下膝关节松解术,手术过程非常顺利。患者在骨外五科医生和护士的悉心照顾下,术后12天拆线时,膝关节屈曲已经超过100°,带着满意的微笑顺利出院。


患者术前膝关节正侧位X线

患者术前膝关节屈曲约32°

骨外五科医生为患者手术中

患者术后膝关节屈曲角度
骨外五科 申福国



