5月22日,我院呼吸与危重症医学科二病区成功实施L型气管支架植入术,救治一名食管癌致气道梗阻患者。
家住讷河市53岁的王先生,罹患食管癌1年,今年4月初吞咽困难再次加重,并逐渐出现气短,诊断为食管癌复发并且压迫气管。在此后的1个月中,患者与家属辗转于省内多家知名医院均就医无果,疫情影响又难以省外求医。王先生病情持续恶化,呼吸困难严重到片刻也离不开氧气,只能蜷坐在床上,臀部出现大片褥疮。
家属带着最后一线希望来到我院找到肿瘤分院副院长、放疗科主任佟旭,佟旭了解病情后,希望通过呼吸介入手段缓解患者气道梗阻,挽救生命,也为患者食道癌的进一步治疗争取时间。
医生深知这是块“硬骨头”,但随即从容而迅速组织科室医护骨干做接诊、救治准备,并协调门急诊、重症医学科、腔镜中心开启绿色通道。经过及时的抢救和规范的气道管理,患者病情得到暂时缓解,也使我们掌握了病变的具体情况。

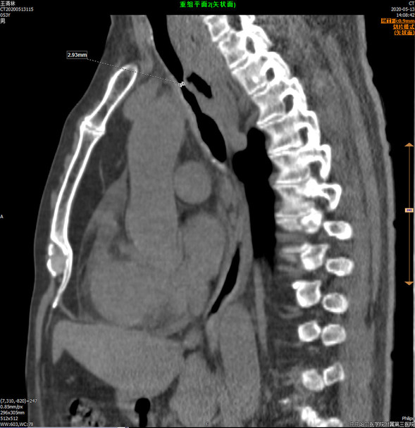
手术前的CT影像图

术前气管狭窄段直径只有2毫米
王先生的呼吸困难之所以如此严重是因为肿瘤侵犯气道非常广泛,从气管中上段一直延续到左主支气管,气管的最窄直径只有2毫米,而如此严重的狭窄又导致大量的痰液潴留及反复的肺感染。另外,毗邻食管的气管壁尤为菲薄,随时可能破溃导致气管食管瘘,增加窒息风险。下一步为彻底解决气道梗阻,最佳的方案就是气管支架植入。
由姜云飞、牟海军两位副主任医师具体实施王先生的支架治疗。姜云飞和牟海军是我院呼吸与危重症医学科二病区的业务精英、呼吸介入骨干,也是我院支援武汉协和医院西院区重症患者救治的优秀代表。他们在解除隔离、返院工作不到2周的时间,又再次担起了重任,经过充分的研判,制定详细的实施计划、救急预案,并且在术前进行充分而严谨的流程演练。

姜云飞和牟海军给患者做支架进行中

支架植入后气管通畅

放置L型支架的全影完美图像
5月22日13:30姜云飞、牟海军在重症医学科医护团队的护航下,腔镜中心副主任护师李晶、护师谭丽丽的配合下,为王先生成功实施了L型镍钛合金气管支架植入术,手术在局麻下进行,全程用时30分钟。术后王先生呼吸困难立即改善,血氧饱和度100%。他兴奋地要求自己走回病房,享受一下久违的顺畅呼吸。5月25日复查支架位置良好,完全覆盖病变,狭窄段彻底通畅,王先生也顺利地转到放疗科继续食管癌的治疗。
自疫情以来,虽然住院病人总数有所减少,但是疑难少见、急危重症、恶性肿瘤、呼吸介入的病人却呈增长态势。作为黑龙江省仅此一家的国家呼吸系统疾病临床医学研究分中心,我们肩负着区域医疗中心的艰巨使命,同时我们又是省内能够独立并全面开展呼吸介入技术的专业团队,救命于危难是我们责任担当。此外,我们能够在疫情期间实现医疗救治常态化,更得益于医院科学严谨、持续优化的规范管理,使我们在安全的诊疗环境中,切实做到了为特殊时期的患者攻克难关、玉汝于成。
呼吸与危重症医学科二病区 姜云飞



