近日,我院神经外二科在机器人辅助下,成功完成一例脑干出血精准穿刺引流,帮助患者重获新生。
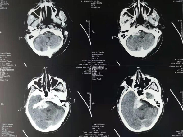
患者柳某,男性,64岁。5月20日晚突发意识障碍,送至我院,经头部CT后诊断为脑干出血。经神经外二科医疗团队讨论后决定行神经外科机器人辅助下脑干出血穿刺引流。在神经外科手术机器人的辅助下,将引流管经患者右侧小脑精准植入脑干血肿腔,手术圆满成功。

术前头CT

术后复查头CT
短短几个小时的抢救,我院神经外科医护人员与时间赛跑,在神经外科手术机器人辅助下,精准打靶,完成脑干出血手术治疗,从死神手中夺回又一条鲜活的生命。在神经外科机器人辅助下完成脑干出血手术治疗,标志着我院神经外科向精准微创神经外科又前进了一步。
神经外二科 张芸



