近日,附属三院神经外二科在机器人引导下,又成功完成一例基底节出血精准微创穿刺引流手术。术前患者浅昏迷,双眼球固定,瞳孔等大,术后当日患者即恢复自主意识。
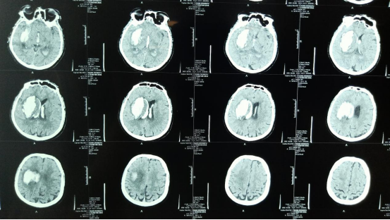
患者管某,男性,58岁,于6月12日晨被发现匍匐于地,意识不清,身边可见大量呕吐物,因患者独自一人生活,具体发病时间不详,家人将其急送至我院。入院时患者浅昏迷,双眼球固定,瞳孔等大,直径2.5mm,有光反应,左侧病理征阳性,GCS6分。经凝血机制和CTA检查排除其它出血性疾病,头部CT显示右侧基底节出血破入脑室,中线结构尚可,术前无创颅内压检测提示颅内压25mmHG,从术前影像判断患者发病时间较长,出血稳定,故决定尽早行微创手术治疗,试图有利于降低增高的颅内压,尽快恢复病人神志和瘫痪肢体活动。


术前影像

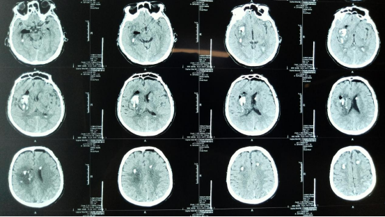
术中导航影像

术后影像
手术由高风全副主任医师和王云龙副主任医师共同完成,在神经外科机器人引导下,定位数据从术前CT上获得,以此作为定位依据确定穿刺点和靶点完成手术设计,精准打靶,成功完成立体定向下脑出血精准穿刺引流手术,术后当日患者即恢复自主意识。
附属三院神经外二科引进的神经外科机器人,可以让手术精准于毫厘之间,使得神经外科领域颅脑深部病变、颅底病变、脊髓病变、功能区病灶等手术创伤小、恢复快,让患者受益最大化。手术导航系统联合启用神经内镜、显微镜这两大元素,成功开启了神经外科精准医疗时代。
神经外二科 王云龙



