脊髓肿瘤,尤其是高颈段椎管内肿瘤是指生长于颈1-颈4节段范围内的椎管内肿瘤,既往由于手术风险高,可能导致四肢瘫、呼吸障碍、中枢高热等严重致命并发症,因此,高颈段脊髓肿瘤属于相对手术“禁区”。
我院神经外科二病房成立至今,积极开展新技术,勇闯手术“禁区”。近日,神经外科二病房成功独立完成了一例高颈段脊髓内肿瘤切除手术,术后患者恢复良好。
患者,男,26岁,因右上肢活动受限2月入院治疗。颈椎核磁平扫及强化检查明确有颈段髓内占位性病变(颈2-颈5)。

术前核磁平扫

术前核磁强化
术前经脊髓组陈大刚副主任医师及科室内医师细致分析及讨论,详尽制定了经颈后正中入路颈髓肿瘤切除手术方案及风险预案。于8月9日在手术室、麻醉科及病理室配合下顺利实施手术并镜下全切肿瘤。术中冰冻病理回报为星形细胞瘤2级。术后患者意识恢复,顺利拔除气管插管,患者无呼吸抑制、无肢体瘫痪、无运动感觉障碍、无二便障碍等不良反应,目前患者生命体征平稳恢复中,已经离床活动。

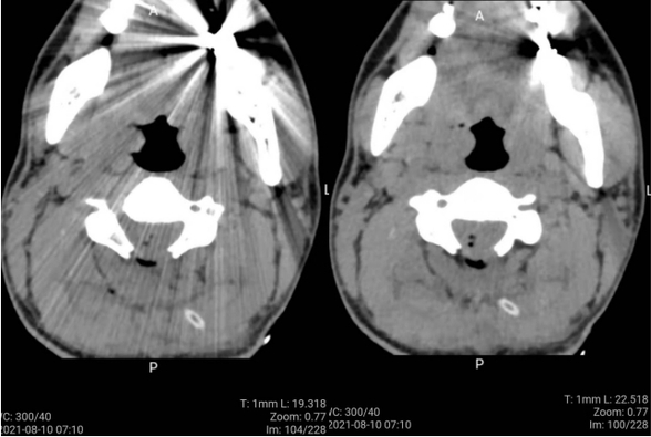
术后第一日CT复查
随着MRI、血管造影等技术的普及,髓内肿瘤的诊断有了长足的进步,同时,随着显微外科技术的不断发展,安全、彻底的切除肿瘤成为脊髓髓内肿瘤的首选治疗方式。我院神经外科二病房脊髓亚专科由陈大刚副主任医师及相关主治医师组成,对于脊髓及椎管内病变治疗有丰富经验,随着超声定位、立体定向、半椎板切除等新技术的应用,必将会为鹤城人民提供更好的医疗保障。
近年来,神经外二科团队攻克了一项项技术难题,新技术突飞猛进:神经介入技术水平不断提高,神经外科机器人广泛应用,中枢神经系统恶性肿瘤切除+放射性粒子植入术、高颈段脊髓肿瘤切除术、脑干肿瘤显微手术切除、经皮穿刺微球囊压迫治疗三叉神经痛等新技术不断涌现,成功救治多位患者。神经外二科团队将继续不断进取、创新突破,为广大患者的健康保驾护航。
神经外二科科室简介
神经外科二病房成立于2015年末,是齐齐哈尔市市级重点科室,齐齐哈尔医学院重点学科,目前科室床位数40张(其中高间6间)。高职医生5名,中级医生2名,住院医师1名,护理团队20人。目前拥有神经重症病房床位6张、呼吸机两台、监护设备10台、降温毯2部、无创颅内压检测仪一台、输液泵10台、无框架神经外科机器人一部、框架立体定向仪一台、脑室镜(0度、30度)各一台、手术显微镜两台(莱卡、蔡司各一台)、手术录像系统2部、手术动力系统(铣刀、电钻)2套、神经外科专用头架2套、CUSA一套、脑室镜专用气动臂一套、全套显微手术器械等。科室医生及护士均能独立处理急、危、重症神经外科患者,高年资医生先后在北京天坛医院、宣武医院、三博医院、协和医院、301医院、天津脑系科医院、广州第一军医大学、哈医大一、二、三、四院等国内各大医院进修学习,且有多名医生经过系统培训显微镜及脑室镜下各种神经科疾病的手术治疗。
科室主要的诊疗范围包括:1、颅脑外伤:颅骨骨折 脑挫裂伤、硬膜外血肿、硬膜下血肿、重度颅脑损伤脑疝等。2、中枢神经系统肿瘤:胶质瘤、脑膜瘤、垂体瘤、听神经瘤、三叉神经鞘瘤,颅内转移瘤等。3、中枢神经系统血管病:颅内动脉瘤、动静脉畸形,自发性脑出血 脑动脉狭窄、烟雾病等。4、高血压脑出血、脑囊虫等。5、脊柱脊髓疾病:各类脊柱脊髓损伤、椎管内肿瘤(脊膜瘤、神经鞘瘤、星形细胞瘤、AVM、转移瘤等)、脊髓血管畸形、椎管囊肿。6、神经系统先天性畸形:头颅畸形、小脑扁桃体下疝、先天性儿童脑积水、脊柱裂等。7、功能神经外科:药物难治性癫痫、帕金森病、三叉神经痛、面肌痉挛等。8、长期昏迷、植物人迷走神经电刺激、脊髓电刺激、干细胞移植促醒治疗等等。
科室领先技术:1、神经内镜下经单鼻孔-蝶窦入路鞍区瘤切除。2、锁孔手术1-2级动脉瘤夹闭术。3、锁孔微血管减压术(MVD)。4、高颈段脊髓髓内肿瘤显微手术切除术。5、气动臂脑室镜下切除CPA胆脂瘤临床应用。6、微球囊压迫术治疗三叉神经痛(PBC)。7、脑干出血显微手术治疗。8、半椎板入路显微镜下切除脊髓腹侧肿瘤。9、CT引导下囊性颅咽管瘤Ommaya储液囊植入术。10、颅内多发动脉瘤手术夹闭术。11、神经内镜结合球囊扩张器清除颅内血肿的锁孔手术。12、小脑出血的锁孔手术治疗。13、中枢神经系统恶性肿瘤显微手术切除+粒子刀植入。14、中枢神经系统原发淋巴瘤手术+间质内化疗。15、Kawase入路岩斜肿瘤显微手术切除。16、多发颅内肿瘤显微手术切除。17、无框架神经外科机器人辅助下微创神经外科多领域手术。18、神经介入手术(富血管肿瘤术前栓塞、动脉瘤介入栓塞、密网支架介入、TCCF可脱球囊栓塞、动脉狭窄支架成型及扩张术、AVM栓塞术等)。19、PICA夹闭术。20、框架下立体定向显微N外科手术。21、神经重症中无创ICP监测应用。22、烟雾病EDAS、EDMS。23、应用CUSA切除巨大脑肿瘤应用。24、3D打印技术在脑出血、脑肿瘤手术中的应用等等。
医疗协作:科室已经成功建立北京天坛医院王永刚名医工作室、北京宣武医院孟国路名医工作室、北京海军总院微创神经外科基地(亓树彬教授、陈涛教授)、天津第一医学中心神经外科重症联盟(张伟晔教授)、辽宁省人医院马逸PBC名医工作室、黑龙江神经肿瘤联盟基地(梁鹏教授)、哈医大一院王宁教授、刘晓谦教授名医工作室、哈医大二院李永利教授名医工作室、哈医大三院梁鹏教授名医工作室、哈医大四院王智教授名医工作室等,可以根据需要随时专家会诊、手术、讲学等。
神经外二科咨询服务电话:
0452-2120936 0452-2120028
神经外二科 陈大刚



