近日,我院神经外二科利用经皮穿刺技术又成功治愈一例三叉神经痛患者,此前利用此项术式已累及治愈三叉神经痛患者近60余例。
患者宁老爷子,饱受三叉神经痛折磨长达5年时间,老人家因长期口服卡马西平片现已无法耐受药物带来的副作用,且药效逐渐减退,令其痛不欲生。期间曾于我市各大医院多次求医未找到令其满意的治疗方案,因难以接受开颅微血管减压手术,故迟迟得不到治愈,经多方打听获知我院神经外二科吴卫东主任团队掌握一种不开刀且能成功治愈三叉神经痛的技术,抱着试试看的打算,来到我院要求进行手术治疗。
该患者系左侧三叉神经下颌支感觉分布区面部皮肤及左侧下牙床发作性剧痛,突发突止,每次持续数秒至1-2分钟不等,频繁发作,刷牙、洗脸及咀嚼食物均可诱发疼痛发作,严重影响老人家的正常生活。
王云龙副主任医师根据患者的病情及身体状况为该患者制定了个体化的治疗方案,因患者年龄较高,经严格的药物治疗效果不佳,恐惧开颅手术对微血管减压术依从性较差,术前三叉神经MRI检查提示患者系较粗大的椎基底动脉移位压迫左侧三叉神经根,患者长期高血压脑动脉硬化,经颅行微血管减压将血管推离三叉神经根且悬吊难度大,老人家不愿意行选择性三叉神经感觉根切断术,综合以上因素为老人家制定经皮穿刺三叉神经半月结微球囊压迫术的手术方案。该术式属于神经外科介入手术,在C型臂或脑血管造影机或神经外科手术机器人的定位下进行,手术时间短,且具有微创、无血、恢复快的优点,面部仅仅一个针孔,术后无任何痕迹,且费用低。老人家欣然接受,手术如期进行,麻醉诱导完成后,手术用时15分钟,术后疗效立竿见影,疼痛完全消失,折磨患者5年的三叉神经痛终于获得成功治愈,老人家脸上终于露出了久违的笑容,患者于术后第二日即康复出院。

术前三叉神经MRI提示基底动脉移位压迫左侧三叉神经根部

颅底三维CT重建提示卵圆孔形态大小正常

术中C型臂照相提示球囊呈梨形位于麦氏囊内,压迫2.5分钟,手术结束,总用时15分钟

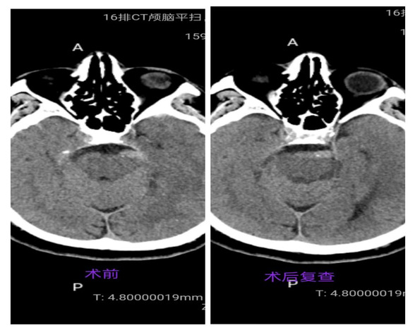
术前术后头部CT平扫

患者术后疼痛消失,成功治愈



