近日,我院骨外五科主任孙文才遇到一位慕名前来的青年患者,患者因多年前反复扭伤踝关节后出现疼痛,在我市多家医院就诊均未能明确诊断及有效治疗。经多处打听了解到我院骨外五科主任孙文才专治骨科疑难杂症,孙文才经仔细阅片及查体后高度怀疑患者为距腓前韧带断裂导致的踝关节不稳引起的疼痛,需行踝关节镜微创手术治疗。在既往就诊过程中各地专家均告知患者“没啥大问题、回家吃点止痛药就好了”,未给患者明确诊断及具体治疗方案。
经与患者及家属沟通并取得手术同意后,孙文才主任、金松副主任及申福国主治医师带领骨科微创团队与手术室、麻醉科协作择期腰麻下行踝关节镜下距腓前韧带重建术,术后第3日,患者即可在助行鞋保护下地正常行走,踝关节前方疼痛明显缓解,出院时疼痛消失。

手术中

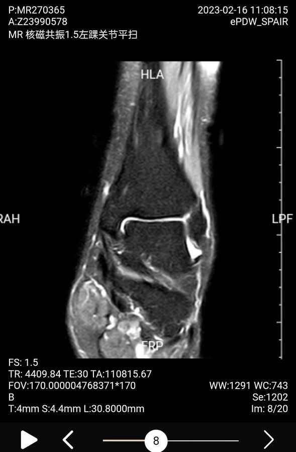
术前踝关节磁共振检查左侧外踝距腓前韧带损伤,信号不连续

术前踝关节x线应力位片示踝关节外侧不稳

术中踝关节镜探查见距腓前韧带断裂(可见断端)

踝关节镜下距腓前韧带重建术中腓骨骨道

术中重建的距腓前韧带

术后微创关节镜切口
骨外五科主任孙文才提醒:
运动时踝关节外侧副韧带中距腓前韧带和跟腓韧带最易损伤,很多人常会因“脚崴”就诊,踝关节局部会出现明显的肿胀、疼痛,并且踝关节活动受限,严重的可能会出现大量的皮下淤血,甚至关节会出现不稳定的情况。通常需要普通的X线光片排除撕脱骨折的可能性,踝关节的核磁共振可以明确距腓前韧带损伤的严重程度。如果距腓前韧带损伤不是很严重,关节稳定性非常好,可以选择积极的进行保守治疗,需要严格地进行卧床休息保护,通常需要7-10天左右的时间。但是如果存在踝关节不稳的情况,需积极手术干预。
如踝关节扭伤后要到正规医院进行治疗,如出现习惯性扭伤,可能需要外科手术治疗。目前随着关节镜微创技术发展,手术并不可怕,几个小孔即可完成既往开刀手术。只有修复韧带,恢复关节稳定性,才能很好的解决习惯性踝关节扭伤。该患者距腓前韧带损伤,微创的踝关节镜手术既可以解决患者病痛,又不会对患者造成较大手术创伤,是值得推广的一种微创手术方法。



